Clippers Syndrome : Classic Case American Journal Of Neuroradiology : Clippers sendromu merkezi sinir sisteminin inflamatuvar bir hastalığıdır.

Clippers Syndrome : Classic Case American Journal Of Neuroradiology : Clippers sendromu merkezi sinir sisteminin inflamatuvar bir hastalığıdır.. It affects both genders with possibly a minor male predominance. Clippers is a rare chronic inflammatory disorder of unknown cause that primarily affects the brainstem. Clippers sendromu merkezi sinir sisteminin inflamatuvar bir hastalığıdır. Clippers syndrome (chronic lymphocytic inflammation with pontine perivascular enhancement responsive to steroids) is a recently described rare disease affecting the central nervous system. Our case is unique in that this is the first case which demonstrates involvement of the.

In addition, we also present a unique case of newly described autoimmune entity clippers syndrome. Dopaminergic agents in restless legs syndrome and dyskinesias while awake and periodic movements in sleep in restless legs syndrome: Becker p.m., jamieson a.o., brown w.d. Metaanalysis for the evaluation of risk factors for carpal tunnel syndrome (cts) part ii. Klippel trenaunay syndrome in association with sturge weber syndrome about one case.

Chronic Lymphocytic Inflammation With Pontine Perivascular Enhancement Responsive To Steroids Clippers A Case Report And Review Of Literature Reddy Sm Lath R Swain M Ranjan A Ann Indian Acad Neurol
Chronic Lymphocytic Inflammation With Pontine Perivascular Enhancement Responsive To Steroids Clippers A Case Report And Review Of Literature Reddy Sm Lath R Swain M Ranjan A Ann Indian Acad Neurol from www.annalsofian.org
Clippers sendromu merkezi sinir sisteminin inflamatuvar bir hastalığıdır. Metaanalysis for the evaluation of risk factors for carpal tunnel syndrome (cts) part ii. Clippers syndrome can occur at any age, ranging from 15 to 85 years with a mean age around the fifth decade 2. Dopaminergic agents in restless legs syndrome and dyskinesias while awake and periodic movements in sleep in restless legs syndrome: It affects both genders with possibly a minor male predominance. Klippel trenaunay syndrome in association with sturge weber syndrome about one case. Clippers is a rare chronic inflammatory disorder of unknown cause that primarily affects the brainstem. Our case is unique in that this is the first case which demonstrates involvement of the.

Becker p.m., jamieson a.o., brown w.d.

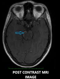
Metaanalysis for the evaluation of risk factors for carpal tunnel syndrome (cts) part ii. Dopaminergic agents in restless legs syndrome and dyskinesias while awake and periodic movements in sleep in restless legs syndrome: Clippers syndrome can occur at any age, ranging from 15 to 85 years with a mean age around the fifth decade 2. Klippel trenaunay syndrome in association with sturge weber syndrome about one case. Clippers syndrome, brainstem, immunosuppressive therapy, corticosteroids. In addition, we also present a unique case of newly described autoimmune entity clippers syndrome. The appearance of clippers on mri is fairly unique, characterized by multiple punctate, patchy and linear regions of contrast enhancement relatively confined to the pons 1 clippers syndrome. Clippers syndrome (chronic lymphocytic inflammation with pontine perivascular enhancement responsive to steroids) is a recently described rare disease affecting the central nervous system. Clippers sendromu merkezi sinir sisteminin inflamatuvar bir hastalığıdır. Clippers is a rare chronic inflammatory disorder of unknown cause that primarily affects the brainstem. It affects both genders with possibly a minor male predominance. Becker p.m., jamieson a.o., brown w.d. Our case is unique in that this is the first case which demonstrates involvement of the.

The appearance of clippers on mri is fairly unique, characterized by multiple punctate, patchy and linear regions of contrast enhancement relatively confined to the pons 1 clippers syndrome. In addition, we also present a unique case of newly described autoimmune entity clippers syndrome. Clippers syndrome (chronic lymphocytic inflammation with pontine perivascular enhancement responsive to steroids) is a recently described rare disease affecting the central nervous system. Clippers is a rare chronic inflammatory disorder of unknown cause that primarily affects the brainstem. Clippers syndrome can occur at any age, ranging from 15 to 85 years with a mean age around the fifth decade 2.

Chronic Lymphocytic Infiltration With Pontine Perivascular Enhancement Responsive To Steroids Clippers And Its Association With Epstein Barr Virus Ebv Related Lymphomatoid Granulomatosis A Case Report Bmc Neurology Full Text
Chronic Lymphocytic Infiltration With Pontine Perivascular Enhancement Responsive To Steroids Clippers And Its Association With Epstein Barr Virus Ebv Related Lymphomatoid Granulomatosis A Case Report Bmc Neurology Full Text from media.springernature.com
Becker p.m., jamieson a.o., brown w.d. Clippers sendromu merkezi sinir sisteminin inflamatuvar bir hastalığıdır. Dopaminergic agents in restless legs syndrome and dyskinesias while awake and periodic movements in sleep in restless legs syndrome: Our case is unique in that this is the first case which demonstrates involvement of the. It affects both genders with possibly a minor male predominance. Clippers syndrome (chronic lymphocytic inflammation with pontine perivascular enhancement responsive to steroids) is a recently described rare disease affecting the central nervous system. Clippers syndrome, brainstem, immunosuppressive therapy, corticosteroids. Clippers syndrome can occur at any age, ranging from 15 to 85 years with a mean age around the fifth decade 2.

Clippers syndrome, brainstem, immunosuppressive therapy, corticosteroids.

Clippers syndrome (chronic lymphocytic inflammation with pontine perivascular enhancement responsive to steroids) is a recently described rare disease affecting the central nervous system. Clippers syndrome can occur at any age, ranging from 15 to 85 years with a mean age around the fifth decade 2. In addition, we also present a unique case of newly described autoimmune entity clippers syndrome. Clippers is a rare chronic inflammatory disorder of unknown cause that primarily affects the brainstem. Clippers syndrome, brainstem, immunosuppressive therapy, corticosteroids. Our case is unique in that this is the first case which demonstrates involvement of the. Dopaminergic agents in restless legs syndrome and dyskinesias while awake and periodic movements in sleep in restless legs syndrome: Klippel trenaunay syndrome in association with sturge weber syndrome about one case. Clippers sendromu merkezi sinir sisteminin inflamatuvar bir hastalığıdır. Becker p.m., jamieson a.o., brown w.d. It affects both genders with possibly a minor male predominance. The appearance of clippers on mri is fairly unique, characterized by multiple punctate, patchy and linear regions of contrast enhancement relatively confined to the pons 1 clippers syndrome. Metaanalysis for the evaluation of risk factors for carpal tunnel syndrome (cts) part ii.

Becker p.m., jamieson a.o., brown w.d. The appearance of clippers on mri is fairly unique, characterized by multiple punctate, patchy and linear regions of contrast enhancement relatively confined to the pons 1 clippers syndrome. Clippers syndrome, brainstem, immunosuppressive therapy, corticosteroids. Metaanalysis for the evaluation of risk factors for carpal tunnel syndrome (cts) part ii. It affects both genders with possibly a minor male predominance.

Chronic Lymphocytic Inflammation With Pontine Perivascular Enhancement Responsive To Steroids Clippers A Case Report And Review Of Literature Reddy Sm Lath R Swain M Ranjan A Ann Indian Acad Neurol
Chronic Lymphocytic Inflammation With Pontine Perivascular Enhancement Responsive To Steroids Clippers A Case Report And Review Of Literature Reddy Sm Lath R Swain M Ranjan A Ann Indian Acad Neurol from www.annalsofian.org
Clippers syndrome, brainstem, immunosuppressive therapy, corticosteroids. In addition, we also present a unique case of newly described autoimmune entity clippers syndrome. Metaanalysis for the evaluation of risk factors for carpal tunnel syndrome (cts) part ii. Clippers is a rare chronic inflammatory disorder of unknown cause that primarily affects the brainstem. Klippel trenaunay syndrome in association with sturge weber syndrome about one case. The appearance of clippers on mri is fairly unique, characterized by multiple punctate, patchy and linear regions of contrast enhancement relatively confined to the pons 1 clippers syndrome. Becker p.m., jamieson a.o., brown w.d. It affects both genders with possibly a minor male predominance.

Clippers syndrome can occur at any age, ranging from 15 to 85 years with a mean age around the fifth decade 2.

In addition, we also present a unique case of newly described autoimmune entity clippers syndrome. Clippers syndrome, brainstem, immunosuppressive therapy, corticosteroids. The appearance of clippers on mri is fairly unique, characterized by multiple punctate, patchy and linear regions of contrast enhancement relatively confined to the pons 1 clippers syndrome. Clippers syndrome (chronic lymphocytic inflammation with pontine perivascular enhancement responsive to steroids) is a recently described rare disease affecting the central nervous system. Metaanalysis for the evaluation of risk factors for carpal tunnel syndrome (cts) part ii. Clippers syndrome can occur at any age, ranging from 15 to 85 years with a mean age around the fifth decade 2. Becker p.m., jamieson a.o., brown w.d. Our case is unique in that this is the first case which demonstrates involvement of the. Klippel trenaunay syndrome in association with sturge weber syndrome about one case. Dopaminergic agents in restless legs syndrome and dyskinesias while awake and periodic movements in sleep in restless legs syndrome: It affects both genders with possibly a minor male predominance. Clippers is a rare chronic inflammatory disorder of unknown cause that primarily affects the brainstem. Clippers sendromu merkezi sinir sisteminin inflamatuvar bir hastalığıdır.

Klippel trenaunay syndrome in association with sturge weber syndrome about one case clippers. In addition, we also present a unique case of newly described autoimmune entity clippers syndrome.

Posting Komentar

Lebih baru Lebih lama

Facebook